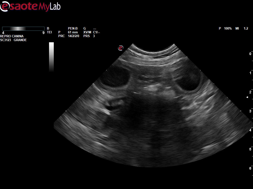
Este pasado viernes 11 de Abril hicimos la ecografía de confirmación de embarazo a Yis de Usurbe, una de nuestras hembras reproductoras 100%DDR

Los cachorros se espera que nazcan el fin de semana del 16 al 18 de Mayo de este 2025.
La lista de RESERVAS todavía cuenta con UN MACHO DISPONIBLE, aunque ya anticipamos que ésta será una Camada numerosa por lo visto en las imágenes.
En dos semanas, repetimos ecografía de control.

Los padres de Yis de Usurbe son:
Macho reproductor: Vladimir vom Kranich’s Hof:
Jamiro von Weltwitz x Magda vom Kranich’s Hof
En la foto: Jamiro von Weltwitz , uno de los perros 100%DDR con más visitas y seguidores en Working Dog.
Hembra reproductora: Emy de usurbe
Queno vom Haus Iris x Juma vom Haus Iris
En la foto: Queno vom Haus Iris, macho reproductor afincado en España. Su hermano Quincy ha sido uno de los sementales más utilizados para los EE.UU.
El padre de nuestra próxima CAMADA I es Arthur von der Eichberg-Ranch, nuestro macho 100%DDR.

Los padres de Arthur von der Eichberg-Ranch son:
Macho reproductor: Quenn-Napoleon vom Kranich’s Hof:
Napoleon von Weltwitz x Dana vom Kranich’s Hof
En la foto: Quenn-Napoleon vom Kranich’s Hof , uno de los perros más utilizados 100%DDR para reproducción actualmente. Un referente de calidad.
Hembra reproductora: Adelheit vom Gräfental
Barras vom Gräfental x Kia vom Gräfental
En la foto: Barras vom Gräfental, macho reproductor abuelo de Arthur von der Eichberg-Ranch. Un perro muy rústico, típico pastor alemán 100%DDR
A Arthur von der Eichberg-Ranch lo importamos a principios del pasado 2024 de la Alemania Oriental con la finalidad de renovar sangres y evitar la endogamia en una linea de trabajo, ésta la DDR, tan reducida y a punto de extinguirse.

Arthur von der Eichberg-Ranch también es el reproductor de nuestra actual CAMADA H (NO ESTÁN DISPONIBLES), con Thelma (Turca de Usurbe), 100%DDR.
Éstos cachorros empezarán a ir a sus casas en la segunda quincena de Mayo, justo cuando toca el nacimiento de la CAMADA I.
Para más INFO sobre disponibilidad y reservas de cachorros de la próxima CAMADA I, pueden enviar un correo electrónico a:
vomhausdanoia@gmail.com
o por teléfono o Whatsapp al:
+34 655 287 900
Les adjuntaremos un archivo PDF donde salen los padres, toda la información de las próximas camadas programadas para este año y el próximo 2026, todas las pruebas de salud oficiales realizadas, documentos oficiales nacionales e internacionales, ADN registrados y EMBARK, disponibilidad de cachorros según CAMADA, etc…
