CAMADA F 2024 Segunda Eco
CAMADA F 2024 Segunda Eco

CAMADA F 2024 Segunda Eco


Thelma (Turca de Usurbe):

https://www.working-dog.com/dogs-details/7259858/Turca-de-Usurbe

Gauner de Usurbe:

https://es.working-dog.com/dogs-details/6950369/Gauner-de-Usurbe

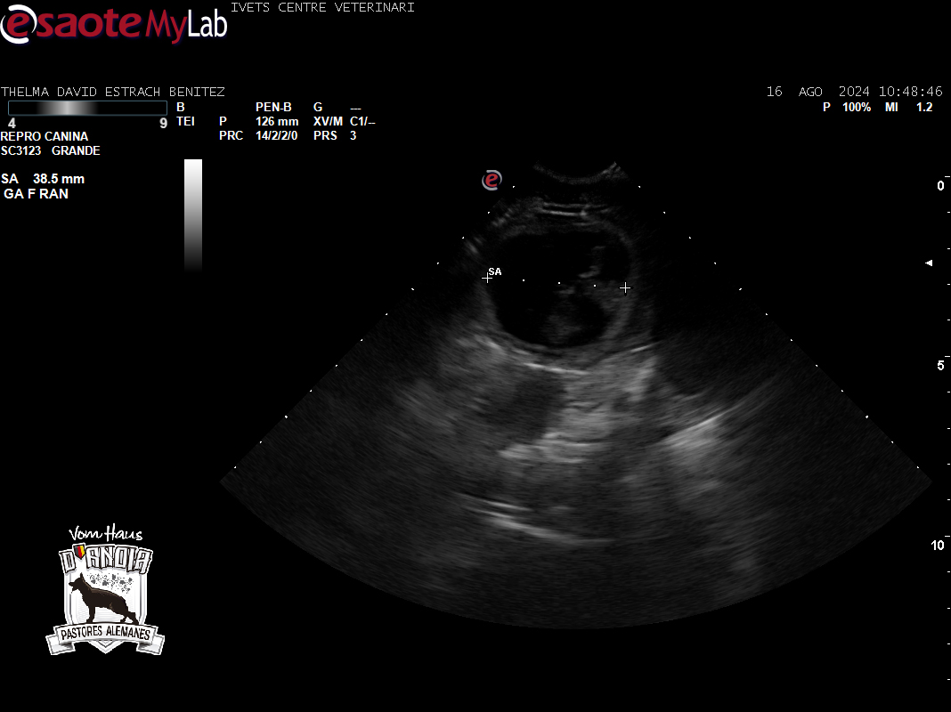
Ayer Viernes 16/08/2024 hicimos la segunda ecografía de control de gestación a Thelma (Turca de Usurbe), para ver cómo vá nuestra próxima Camada F de Pastores Alemanes de linea de Trabajo 100% DDR Puro

Parece ser que la futura mamá lleva bastantes cachorros, y lo más importante, ella está perfecta.

La semana que viene, repetimos con una tercera eco de control para luego ya empezar con el plan específico de profilaxis y acabar con la radiografía de fin de embarazo cuando queden pocos días.

En el siguiente Enlace teneís acceso al video de la segunda ecografía de control de gestación realizada en Ivets, una de las mejores clínicas de Europa a nivel reproductivo canino

https://photos.app.goo.gl/4STBRgMzt2z16kYk6


La Camada F de Pastores Alemanes de linea de Trabajo 100% DDR Puro tiene previsto su nacimiento en la segunda semana de Septiembre del presente año.

La lista de reservas está completa desde hace meses para esta Camada F, aunque puede darse el caso de que haya algún cachorro disponible.

Por lo visto en la ecografía, puede ser una Camada numerosa, algo que confirmaremos en la radiografía de fin de embarazo que hacemos sobre los 52 – 55 dias de gestación.

Si está interesado en un cachorro de esta Camada F puede contactar con nosotros a partir de la segunda quincena de Septiembre y preguntar disponibilidad. Sino, puede pedir información o apuntarse a la lista de reserva de la Camada G ó H 2025

Nosotros cerramos siempre las reservas cuando tenemos 6 cachorros en lista, 3 machos y 3 hembras. Es la manera de no crear falsas expectativas.

Si luego nacen más, damos la oportunidad a los clientes de las siguientes listas (en este caso G y H 2025), o a aquellos que no pudieron reservar en su día por estar, bajo nuestro criterio, la lista completa.


Deja una respuesta

Tu dirección de correo electrónico no será publicada. Los campos obligatorios están marcados con *